- What Are Dental Veneers and How Do They Work?
- What Do Teeth Look Like Under Veneers?
- Why Do Teeth Look Thin Under Veneers?
- Veneers Placement and Preparing of Teeth
- How Much Teeth Is Removed for Veneers
- How to Maintain Veneers and Healthy Teeth Under Veneers?
- Key Takeaways About What Real Teeth Look Like Under Veneers
- Get Best Veneers and Radiant Smile at Turkey Luxury Clinics
- FAQs About What Do Teeth Look Like Under Veneers
Veneers have become one of the most popular cosmetic dental treatments for achieving a flawless, radiant smile, and are a key part of the trendy Hollywood smile. Many people wonder what teeth look like under veneers, especially since veneers are a permanent transformation and the process involves changes to the natural teeth.
What Are Dental Veneers and How Do They Work?

Underneath dental veneers, natural teeth are slightly smaller, thinner, and often have a rougher texture, as about 0.5mm of enamel is removed to ensure a proper, non-bulky fit. The teeth remain healthy and functional, but the process is irreversible because this outer layer of enamel cannot be replaced.
Dental veneers are thin, custom-made shells crafted from porcelain or composite resin and bonded to the front surface of your teeth.
They are designed to improve your smile by addressing common cosmetic issues, including stains, chips, gaps, and unevenly shaped teeth.
Porcelain veneers are often preferred for their natural, neutral appearance and long-lasting durability. Composite veneers offer a more affordable alternative, though they are less durable and more prone to staining over time.
Veneers work by covering the front of the teeth, typically after a thin layer of enamel is removed. This process effectively conceals imperfections and creates a more uniform, aesthetically pleasing appearance, resulting in a natural and radiant smile.
However, many are wondering what teeth look like under veneers.
Discover the most popular use of veneers in smile makeover design and explore the 24 celebrities famous for getting veneers.
What Do Teeth Look Like Under Veneers?

Under veneers, your teeth look like slightly smaller or thinner and potentially rougher versions of your natural teeth because a thin layer of enamel is removed during preparation.
The portion removed from the front surface of the tooth is very thin—around 0.5 mm of enamel—however, this shaving is crucial to make veneers appear natural without extruding the teeth or affecting the appearance of your lips.
The underlying tooth structure remains healthy, but the tooth is slightly reshaped and permanently altered to fit the veneer. Once the veneers are placed, you won’t see your natural teeth, as they are completely covered by the veneer material.
The portion of teeth removed for placing veneers is smaller than the portion required for crowns. Additionally, only the front surface is involved in the reshaping procedure for veneers, whereas for crowns, the reshaping involves multiple sides of the tooth.
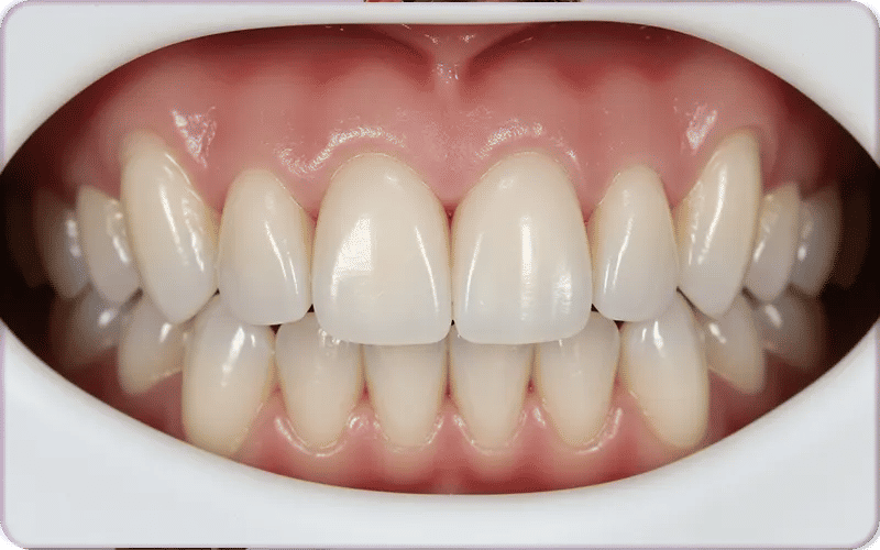
In contrast to what teeth look like under veneers, the outer shape of your teeth and smile becomes perfectly appealing. With veneers, your teeth will appear intact without deformations, chipping, or discoloration. They will have better symmetry, proportion, and harmony with your face, while maintaining a natural white color.
What Teeth Look Like After Veneer Preparation
Reduced Size:
After preparation, teeth appear slightly smaller or more refined. This subtle reduction creates space for the porcelain veneer to sit flush and look natural.
Texture & Color Changes:
The prepared tooth surface may feel slightly rougher and appear duller or less glossy than natural enamel. Mild discoloration can be visible, which is normal and fully covered once the veneer is placed.
Not “Stump Teeth”:
Proper veneer preparation does not leave teeth looking like tiny, sharp stumps. This extreme appearance is typically associated with dental crowns—often referred to online as “Turkey teeth”—not conservative veneer procedures.
Minimal Changes with No-Prep Veneers:
With ultra-thin or no-prep veneers, the underlying teeth remain very close to their original shape and appearance, as little to no enamel removal is required.
Why Do Teeth Look Thin Under Veneers?
Shaving of teeth is a crucial step before placing veneers, as it allows the veneers to fit perfectly over the teeth, creating a natural look without making the teeth appear too bulky or affecting the appearance of your lips.
The thin enamel removal is specifically designed to create a balance: enough space for the veneer to fit naturally without compromising the tooth’s strength, while also making your smile look perfect and radiant.
Veneers are thin shells, so only a small amount of enamel is required to be removed from the front of your natural tooth to make space for them. Despite this, removing a layer of enamel ensures that the veneer sits comfortably and doesn’t look bulky or unnatural in your smile.
Recommended for you:: Miley Cyrus veneers
Veneers Placement and Preparing of Teeth

Veneer placement involves two main stages: teeth preparation and veneer placement.
How Are Teeth Prepared for Veneers?
To prepare teeth for veneers, a thin layer of enamel is carefully removed from the front surfaces. This creates space for the veneer and slightly roughens the tooth surface to ensure better bonding. A dental drill is typically used to remove this layer with precision.
The amount of enamel removed varies depending on the specific cosmetic issues and the type of veneer material, typically ranging from 0.3 to 1.5 millimeters.
Tooth preparation ensures that the veneer fits snugly and appears seamless with your other teeth. Once the teeth are prepped, impressions are taken using the Digital Smile Design (DSD) technique for accuracy. Temporary veneers are often placed to protect the teeth while the permanent veneers are being fabricated, ensuring both comfort and aesthetics during the interim period.
How Much Teeth Is Removed for Veneers
The amount of tooth enamel removed varies depending on your unique tooth shape, alignment, existing dental issues, and the type of veneer you choose.
For traditional porcelain veneers, a small amount of enamel—typically around 0.5 mm, roughly the thickness of a fingernail—is removed from the front surface of the teeth.
However, for Lumineers, an ultra-thin type of veneer made from strong porcelain material called Cerinate®, enamel removal is often minimal or even unnecessary. Lumineers bond
How to Maintain Veneers and Healthy Teeth Under Veneers?

Maintaining veneers and the underlying teeth requires general oral care habits as well as specific precautions to preserve the veneers’ appearance and durability.
General Oral Hygiene Tips
- Brush twice daily with a soft-bristled toothbrush and non-abrasive toothpaste.
- Floss daily to remove plaque between teeth.
- Use an alcohol-free mouthwash to maintain oral health.
- Replace your toothbrush regularly to ensure effective cleaning.
Protecting Veneers from Staining and Damage
Composite veneers are more susceptible to staining than porcelain, so it’s important to:
- Minimize consumption of staining foods and drinks (e.g., coffee, tea, red wine).
- Avoid smoking and tobacco products.
- Have professional dental cleanings regularly to maintain color and hygiene.
Preventing Physical Damage
To protect veneers from chipping, cracking, or loosening:
- Avoid hard foods such as nuts or ice.
- Do not use your teeth as tools (e.g., opening bottles).
- Wear a nightguard if you grind or clench your teeth.
- Practice safe eating habits and avoid chewing hard objects.
Regular Dental Care
- See your dentist regularly for checkups.
- Monitor for loose veneers and address any issues promptly.
- Maintain gum health to support the teeth under veneers and prevent gum disease.
By following these habits, you can keep both your veneers and your natural teeth healthy, maintain the veneers’ color and shine, and enjoy a beautiful, long-lasting smile.
Key Takeaways About What Real Teeth Look Like Under Veneers
- Veneer placement involves removing a thin layer of enamel, which may subtly affect the natural look of your teeth, making them appear slightly rougher or less glossy.
- However, this does not compromise the health or strength of your teeth, and no natural tooth is removed entirely.
- Teeth beneath veneers are not completely immune to cavities, especially at the edges where the veneer meets the gum line.
- Maintaining proper oral hygiene is essential to prevent decay.
- The color of natural teeth under veneers may change over time, particularly if the veneers are not perfectly sealed, allowing minor infiltration of liquids or bacteria.
- In cases requiring a larger amount of enamel removal, the underlying tooth structure may be slightly weakened, making it more susceptible to chipping or cracking.
Get Best Veneers and Radiant Smile at Turkey Luxury Clinics

Curious about what your teeth will look like under veneers? You can get veneers with complete peace of mind when you trust the expertise of the dental team at Turkey Luxury Clinics. Our specialists provide professional veneer treatments and ongoing maintenance to ensure your smile remains bright, natural, and radiant, while keeping your healthy teeth intact with minimal enamel removal.
Whether you choose porcelain or composite veneers, our team uses advanced techniques, including Digital Smile Design (DSD), to create veneers that fit perfectly, enhance your smile, and protect the underlying teeth.
Book your consultation today to discover all about veneer placing in Turkey and to ensure what your teeth will look like under veneers and achieve a long-lasting, flawless smile with the care and expertise you deserve.
Interesting read:
Hollywood smile packages for full mouth veneers and crowns make it more affordable for smile makeovers in Turkey, which is considered one of the cheapest countries for veneers in 2025.















.webp)
.webp)
.webp)
.webp)

