- Is it Possible to Get Surgery to Be Taller?
- What is the Surgery to Get Taller?
- How Does Limb Surgery Work to Increase Height?
- Types of Devices Used in the Surgery to Get Taller
- How Much Does Surgery to Get Taller Cost
- Surgery to Get Taller Before and After
- Recovery After Surgery to Get Taller
- FAQs About Surgery to Get Taller in Turkey
Surgery to get taller in Turkey has become increasingly popular for those seeking a permanent height increase. Through limb lengthening surgery, patients can safely and effectively gain several inches, benefiting from Turkey’s advanced medical facilities and highly experienced surgeons.
With prices starting at $15,000, or higher for more advanced techniques, Turkey Luxury Clinics provide safe and effective height-increasing surgery. Our surgeons guide you through every step, from planning to recovery, ensuring the best possible results.
Discover the surgery to get taller and contact us today to schedule a consultation and take the first step toward achieving your ideal height.
Is it Possible to Get Surgery to Be Taller?
Yes, getting taller by surgery is possible through a medical procedure known as limb lengthening surgery. This surgery can permanently increase a person’s height, usually by 5 to 8 cm, and in some advanced cases even up to 15 cm.
Depending on the purpose, limb lengthening can be performed as a cosmetic surgery to get taller, when the goal is purely aesthetic, or as a medical bone surgery to get taller, when it is needed to correct conditions such as limb length discrepancies or certain growth disorders. While the technique itself is complex and requires a long recovery, it remains the only proven surgery to permanently increase height.
What is the Surgery to Get Taller?

Surgery to get taller, known as limb lengthening surgery or cosmetic height surgery, is a complex orthopedic procedure that involves surgically breaking legs and gradually separating them to stimulate new bone growth, thereby increasing the patient's height.
Over time, new bone tissue forms and increases a person’s height. While it’s a complex and lengthy process, many patients choose it for cosmetic or medical reasons.
While the surgery can significantly increase height, it is a complex, painful, and lengthy process with potential complications and a long recovery period, sometimes lasting one to two years.
How Does Limb Surgery Work to Increase Height?

Limb lengthening is a bone breaking surgery to get taller. Through the surgery, you undergo a limb lengthening procedure where a bone, usually the tibia (shin bone) or femur (thigh bone), is surgically broken and then gradually separated apart using an internal or external device. As the gap widens, the body naturally produces new bone tissue to fill it.
Over time, this new bone hardens and permanently increases a person’s height. The entire recovery process can take 9 to 12 months, depending on the length gained and the patient’s healing progress.

Main steps of surgery to get taller include:
- Osteotomy: The surgeon makes a precise cut to divide the bone into two segments.
- Device Installation: A limb lengthening device (internal or external) is attached to stabilize the bone.
- Distraction Phase: Over several months, the device gradually separates the bone segments by about 1 millimeter per day.
- New Bone Formation: The body’s natural regenerative ability creates new bone tissue to fill the gap.
- Consolidation Phase: Once the desired length is reached, the new bone solidifies and strengthens, permanently increasing height.
Read about: How to get taller surgery and the Knee Surgery to Get Taller in Turke
Types of Devices Used in the Surgery to Get Taller

Devices used in limb lengthening surgery to get taller are either external fixators,or internal rods. Both types of devices are adjusted daily, either manually with a tool or magnetically with an external device, to slowly separate the broken bone segments and stimulate new bone growth in the created gap.
1. External Fixator Ilzarov device:A metal frame worn on the outside of the leg, connected to the bones by pins or wires.
2. Internal Rod (Intramedullary Nail) Precise device: A screw-like device placed inside the bone marrow cavity, which can be mechanically or magnetically controlled.
3. Hybrid devices LON: It involves both an initial external fixator and a pre-inserted internal nail. The nail then provides stability for the bone lengthening process, which is then completed with the external device.
Internal Rod vs. External Fixator in Limb Lengthening Surgery
| Feature | Internal Rod (Precice/ILN) | External Fixator |
| Placement | Inside the bone (intramedullary) | Outside the bone, attached with wires or pins |
| Visibility | Not visible externally | Fully visible on the leg |
| Comfort | More comfortable for the patient | Less comfortable, may cause skin irritation |
| Adjustment | Lengthened magnetically using an external controller | Adjusted manually or daily according to the prescribed schedule |
| Infection Risk | Very low | Higher due to skin penetration and pins |
| Mobility | Better during recovery | Limited, often requires walker or crutches |
| Appearance During Recovery | Almost unnoticeable | Clearly visible, shows external device |
| Cost | More expensive | Usually less expensive |
| Recovery Experience | Easier and more comfortable | Longer and more challenging due to external fixation |
How Much Does Surgery to Get Taller Cost
Height lengthening surgery can cost from approximately $15,000 to over $250,000, with costs highly dependent on the country, surgical method, and the specific bones being lengthened.
While the United States and Europe typically have higher costs (>$100,000), countries like India and Turkey offer significantly more affordable options, with prices ranging from $15,000 to $60,000
Cost of surgery to get taller in different countries:
- United States: Can exceed $120,000 for bilateral femoral lengthening and more than $250,000 for tibia and femur lengthening combined.
- Cost in Europe: Typically ranges from $55,000 to $80,000.
- Cost in Turkey: Prices for limb lengthening can range from $35,000 to $63,000.
- Cost inIndia: Costs for the procedure are often between $6,000 and $18,000 USD
How much does surgery to get taller cost in Turkey?
Cost of limb lengthening surgery in Turkey ranges between $15,000 and $50,000 USD, with costs varying based on the surgical technique (such as external fixators vs. internal magnetic nails like PRECICE), the complexity of the procedure, the surgeon's experience, and whether the package includes accommodation, transportation, and post-operative care.
In Turkey, the cost of External Fixators Ilizarov method is a more affordable option, starting around $15,000, than Internal Fixation PRECICE, or hybrid LON with costs reaching up to $65,000 or more.
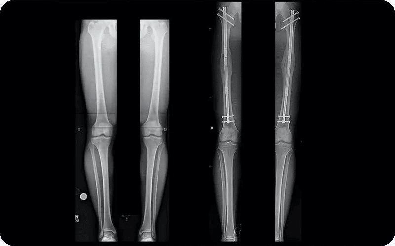
Surgery to Get Taller Before and After

Considering plastic surgery to get taller, people get this procedure to achieve specific beauty criteria. The before and after results of surgery to get taller are usually quite striking. After completing the recovery period of a leg surgery to get taller, patients notice a more elongated leg shape and a natural increase in overall height.
On average, femur surgery to get taller adds around 3 to 5 inches (7–12 cm). If both the tibia and femur are lengthened, the total height gain can reach up to 15 cm (about 6 inches). These changes create a permanent difference that is visible not only in height but also in body proportions, giving a more balanced and taller appearance.
Before and after photos show dramatic changes in height, but also highlight the significant surgical intervention and ongoing need for support and rehabilitation devices.
Recovery After Surgery to Get Taller

Recovery after limb lengthening surgery is a gradual but essential journey to achieve lasting results while minimizing complications. The process can take 6 to 12 months or more, as the bone slowly heals and strengthens enough to support normal weight.
In the first few months, patients rely on crutches or a walker, since the bone cannot yet bear full weight. Light physiotherapy begins early to keep muscles active and joints flexible. Managing the external fixator is a key part of this stage, as patients follow the surgeon’s schedule to gradually lengthen the bone—usually around 0.25 mm several times a day.
Over the following months, new bone gradually forms in the gap, slowly elongating the leg. During the consolidation phase, the bone hardens and strengthens, and patients start moving more independently, guided by X-ray assessments and their own comfort. Every step of this process requires patience and commitment, but it leads to a natural, permanent increase in height.















.webp)
.webp)
.webp)
.webp)

