- What Are Bad Dental Implants?
- Before and After Bone Loss Bad Dental Implants Pictures
- Why Do Dental Implants Go Bad?
- Signs and Symptoms of Bad Dental Implants
- What to Do If a Dental Implant Failed?
- How to Fix a Bad Dental Implant
- What Happens if a Bad Dental Implant is Not Fixed?
- Treat a Bad Dental Implant with Confidence at Turkey Luxury Clinics
- FAQs About Bad Dental Implant
Dental implants are one of the most effective and popular solutions for replacing missing teeth. The procedure is generally safe, minimally invasive, and has a high success rate.
However, dental implant problems can occur, sometimes leading to complications or even implant failure. Bad dental implants are rare but can cause serious oral health issues if left untreated.
At Turkey Luxury Clinics, we help patients understand the causes, signs, and risks of dental implant failure—and guide them on the best steps to address any problems. For personalized consultation, contact our dental specialists today.
What Are Bad Dental Implants?

A bad dental implant refers to an implant that has become problematic, complicated, or failed. This can happen when the implant turns loose, gets infected, or suffers bone loss due to poor osseointegration (when the bone does not properly fuse with the implant).
When a dental implant goes wrong, the issue may sometimes be corrected by treating the underlying cause or stabilizing the implant. In more severe cases, the implant may need to be completely removed and replaced.
It’s also important to understand the difference between normal healing discomfort and warning signs of complications or failure so you don’t ignore issues that require urgent attention.
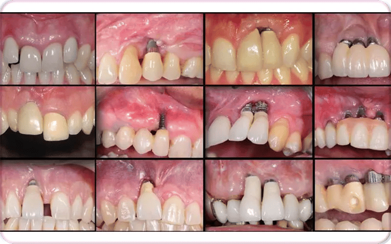
Before and After Bone Loss Bad Dental Implants Pictures

Why Do Dental Implants Go Bad?

The main causes of the bad dental implants are the significant problems that occur before, during or after surgery and lead to either immediate or long term complications with several signs and symptoms that persist or end with failure.
Causes of Bad Dental Implant:
1. Peri-implantitis
Peri-implantitis is a bacterial infection that develops around the gum and bone supporting the dental implant. Peri-implantitis symptoms include swelling, bleeding, and progressive bone loss. If left untreated, the infection destroys surrounding tissues and eventually leads to implant failure.
2. Failed Osseointegration
Osseointegration is the crucial healing process where the jawbone fuses with the implant. When this process fails, the implant stays unstable and may loosen over time. Poor bone quality, surgical errors, and certain medical conditions are the main reasons behind failed osseointegration.
3. Smoking
Nicotine in cigarettes reduces blood circulation and slows the body’s natural healing response. Smokers are more vulnerable to dental implant infections and poor bone integration, which significantly lowers dental implant success rates.
4. Poor Oral Hygiene
Just like natural teeth, implants require consistent oral care. Lack of proper brushing and flossing causes plaque buildup around the implant, leading to gum inflammation, infection, and eventual bone deterioration.
5. Implant Misplacement
Improper placement of an implant during surgery can result in uneven bite pressure, nerve injury, or excess stress on the surrounding bone. These complications increase the risk of implant instability and long-term failure.
6. Bone Loss
Adequate bone density is essential for implant stability. Progressive bone loss—caused by gum disease, trauma, or natural aging—weakens the implant’s foundation and often leads to implant loosening or complete implant failure.
7. Medical Conditions
Chronic illnesses such as diabetes, osteoporosis, and autoimmune disorders affect the body’s healing ability and bone health. Patients with these conditions face a higher risk of complications that may compromise implant success. Read more about: Dental Implants for Diabetics, for Osteoporosis and for Smokers
8. Infection
Infections that occur after surgery delay the healing process and can compromise the implant site. If bacteria spread to surrounding bone and tissues, the implant may not integrate properly and could fail.
9. Periodontal Disease
Pre-existing gum disease remains one of the leading causes of implant failure. It spreads to the implant site, damaging the bone and soft tissue support needed to keep the implant stable.
10. Bruxism
Teeth grinding or clenching (bruxism) places excessive force on implants. This constant pressure increases the chance of implant fractures, loosening, or failure. Using protective measures such as a night guard helps reduce the risk.
11. Implant Overload
Implant overload occurs when chewing forces are greater than what the implant can withstand, often due to misaligned placement or insufficient implants to support a dental bridge. This pressure weakens implant stability and leads to long-term failure.
12. Other Causes of Bad Dental Implants
- Nerve damage
- Osteoporosis
- Allergies
- Autoimmune disorders
- Diabetes
- Foreign body rejection
- Pharmaceutical drugs
- Micromovement during heali2ng
- Unskilled dental surgeon
- Bleeding surgical complications
Signs and Symptoms of Bad Dental Implants

Dental implant failure is indicated by signs that depend on the underlying cause, including persistent pain, implant mobility (wobbling), swelling or inflammation, gum recession, and difficulty chewing. Symptoms of a failing implant are usually persistent, severe, or appear later in the healing process.
1. Persistent or severe pain (how bad do dental implants hurt): dental implants should always feel comfortable; ongoing or intense pain often signals infection, nerve irritation, or implant instability.
2. Implant movement or loosening: implants should always remain firmly anchored in the jawbone; any shifting or wobbling indicates failed osseointegration or bone loss.
3. Gum swelling, redness, or discharge: healthy implants should always heal without prolonged inflammation; swelling, bleeding, or pus suggests peri-implantitis or another infection.
4. Bad breath is a sign of a bad dental implant: Bad breath, or halitosis, after getting dental implants is typically not caused by the implants themselves but by factors like poor oral hygiene, trapped food particles, or an infection, which can indicate implant failure
5. Visible issues in scans or images (bad dental implants xray / bad dental implants pictures): X-rays or clinical photos may reveal bone loss, poor placement, or structural failure not visible to the naked eye.
6. Bad smell and taste: A persistent bad taste or foul odor in the mouth can indicate infection or tissue problems around the implant, signaling a potential implant complication.
What to Do If a Dental Implant Failed?

If you notice signs of dental implant failure, the most important step is to contact your dentist or oral surgeon immediately for a full evaluation. Identifying the cause, whether infection, bone loss, or poor osseointegration, is essential for planning treatment.
Management may include controlling infection, relieving pain, stabilizing the implant if possible, or, if necessary, removing it and replacing it with a new one after proper healing.
Steps to Handle a Bad Dental Implant
- Immediate Consultation: Contact your dentist immediately, as early evaluation helps prevent further complications.
- Avoid Deterioration: Do not chew or apply pressure on the implant to prevent further damage.
- Discover the Cause: Get X-rays or scans to assess bone integration and implant alignment.
- Get Proper Treatment Promptly: Treat infections with antibiotics or other therapies as needed.
- Long-Term Preservation: Maintain proper oral hygiene and use mouthwash regularly.
You may like: How to handle dental implant failure
How to Fix a Bad Dental Implant

Treatment for a bad dental implant depends on the underlying cause and severity of the problem. Options may include antibiotics, deep cleaning, or, in some cases, surgical removal and replacement of the implant, sometimes combined with a bone graft to strengthen the jaw for a new implant.
Your specific treatment plan may include:
- Early intervention: Deep implant cleaning, antimicrobial therapy, or other procedures to save the implant and protect your oral health.
- Stabilizing the implant: Some loose implants can be successfully repaired without removal.
- Removing the implant if necessary: The best failed dental implants treatment is to remove it. This prevents further complications, a failing implant may need to be removed.
- Bone grafting: Low bone density can contribute to implant failure or result from complications. Bone grafts restore the jawbone and create a solid foundation for future implants.
- Considering future tooth replacement: Once healed, a new implant can be placed, or alternative options such as a dental bridge or dentures may be considered.
Read more about:
Dental Implants vs. Dentures: Weighing the Pros and Cons to Make the Right Choice
Dental Implants vs. Bridges: Finding the Best Solution for Your Unique Needs
What Happens if a Bad Dental Implant is Not Fixed?

Untreated bad dental implants cause severe consequences including chronic infection, bone loss in the jaw, damage to adjacent teeth, persistent pain, and implant loosening or total implant failure,
Treating a complicated bad dental implant is more difficult and complex and usually requires removal of the implant. This can also lead to functional issues like problems with your bite and chewing.
Potential Complications of an Untreated Failed Implant
1. Chronic Infection:
A chronic infection around a dental implant can gradually spread to the surrounding bone, including the adjacent jawbone. If left untreated, these infections become more complex to manage and may require extensive treatment to prevent further damage.
2. Progressive Bone Loss:
Over time, untreated dental implant complications can lead to progressive bone loss, which may extend to the facial bones. This weakening of the jaw structure can compromise implant stability and make future dental procedures more challenging.
3. Implant Failure:
Early-stage implant problems can often be treated successfully. However, if these issues are neglected, even minor complications can escalate, ultimately leading to complete implant failure and the need for surgical removal.
4. Sinus-Related Complications:
For implants placed in the upper jaw, untreated problems can sometimes affect the maxillary sinus. This can result in sinus infections, pressure, or discomfort, making prompt evaluation and treatment essential to prevent further complications.
Treat a Bad Dental Implant with Confidence at Turkey Luxury Clinics
If you notice any signs of a bad dental implant, contact your dentist immediately. Early intervention can often save the implant, prevent serious complications, and protect your oral health. For professional guidance and specialized care, Turkey Luxury Clinics provides personalized consultations and treatment for dental implant problems.















.webp)
.webp)
.webp)
.webp)

