- Can Invisalign Fix Overbite?
- What is an Overbite?
- Why Correcting an Overbite is a Medical Necessity?
- How to Fix an Overbite?
- What is an Invisalign Aligner?
- How Does Invisalign Fix an Overbite?
- Success Rates & Clinical Evidence of Invisalign for Overbite
- Invisalign for Overbite Before and After Cases (Realistic Expectation)
- Does Invisalign Work for Severe Overbite?
- Can Invisalign Fix an Overbite Without Rubber Bands?
- Invisalign With vs. Without Rubber Bands for Overbite
- Invisalign vs Braces for Overbite
- Invisalign for Overbite in Children
- Invisalign for Overbite in Adults
- How Long Does Treating Overbite by Invisalign Take?
- What Factors Affect Overbite Treatment Time?
- How to Speed Up Invisalign Overbite Treatment
- How Much Does Invisalign for Overbite Cost?
- Get Trusted Overbite Treatment with Invisalign at Turkey Luxury Clinics
- FAQs About Can Invisalign Fix Overbite
An overbite (or deep bite) is when your upper teeth overlap your lower teeth more than they should. Left untreated, an overbite can lead to oral health issues such as uneven tooth wear, jaw pain, and even difficulties with speech or chewing.
Overbite treatment may involve different options like braces or aligners. Among them, Invisalign stands out as a transparent, FDA-approved, and highly popular brand. But many patients ask: Can Invisalign fix overbite? The answer is yes.
Invisalign is effective for most mild to moderate cases and can correct an overbite within 6 to 24 months, either on its own or with the help of small attachments or elastics for added precision.
Book your free consultation today to assess your overbite and explore how it can be treated smoothly and comfortably with clear, nearly invisible Invisalign aligners.
Can Invisalign Fix Overbite?
Yes, Invisalign can fix overbites in many cases, particularly mild to moderate ones, by gradually shifting teeth into their proper positions especially when the problem is mainly with teeth rather than the jawbone. Treating overbite with Invisalign involves a series of custom-made aligners that apply gentle pressure to progressively adjust the teeth and improve overall bite alignment.
The effectiveness of Invisalign for overbite depends on the severity of the case and how consistently the aligners are worn and commitment to the treatment plan. On average, treatment may take 12 to 24 months if the aligners are worn for 22 hours a day as recommended.
For more complex cases, particularly when the overbite is caused not only by tooth misalignment but also by jaw positioning, Invisalign treatment for overbite may be combined with rubber bands.
These small, non-toxic elastics are attached by the patient to hooks on the aligners or bonded attachments on the teeth, providing extra force to move both the upper and lower jaws into better alignment. In less severe cases, however, Invisalign aligners alone may be enough to fix an overbite.
What is an Overbite?

An overbite is a common malocclusion, or bite problem, where the upper front teeth overlap the lower front teeth more than they should, which can be a normal condition in a mild form but requires treatment in severe cases.
Whereas 2 to 3 mm overlapping of upper and lower arch is normal and causes no problem, more than 3mm or where the lower teeth hit the roof of the mouth is considered an excessive overbite, also called a "deep bite".
Why Correcting an Overbite is a Medical Necessity?
Beyond aesthetic issues associated with overbite, essential functional, social and health problems associated with overbite make it a medical necessity rather than cosmetic treatment. This include:
- Masticatory Efficiency: The difficulty in chewing food correctly.
- Phonetic Challenges: The impact on speech and word pronunciation.
- Musculoskeletal Strain: The risk of developing jaw pain (TMJ issues), neck pain, and chronic headaches due to an improper bite alignment.
How to Fix an Overbite?
Fixing an overbite usually starts with gradually moving the teeth and jaw into a healthier position. For many patients, Invisalign overbite treatment represents a great choice, as clear aligners can correct mild to moderate cases without the need for metal braces.
Traditional braces with elastics are also highly effective in shifting the bite into alignment. In some situations, dentists may recommend tooth extractions if overcrowding is the main cause. For more complex cases, especially severe overbites, corrective jaw surgery may be required to realign the bones.
Each method has its role, but the overbite Invisalign option often stands out as a discreet and comfortable solution for those searching for ways to fix an overbite without traditional braces.
What is an Invisalign Aligner?

An Invisalign aligner is a clear, removable, custom-made plastic tray designed to fit snugly over your teeth. It works by applying gentle, controlled pressure to gradually move your teeth into a straighter, more aligned position over time. Treatment involves a series of these aligners, with each set worn for a specific period before being replaced by the next. One of the biggest advantages is that Invisalign trays are removable, allowing you to eat, brush, and floss without restrictions. This makes them a discreet and convenient alternative to traditional metal braces for several teeth misalignment issues which make many wondering does invisalign fix overbite?
How Does Invisalign Fix an Overbite?

Fixing overbite with invisalign begins with a consultation to determine if you’re a suitable candidate. Using 3D scans and advanced imaging, your orthodontist designs a personalized treatment plan that maps out how your teeth will gradually move, along with a customized series of aligners.
These clear, removable aligners are worn 20–22 hours a day and changed to a new set every 1–2 weeks. They apply gentle, controlled pressure to shift the upper teeth back and/or lower teeth forward, improving bite alignment.
For complex overbites, your orthodontist may add attachments on specific teeth or use elastics (rubber bands) to provide extra force and guide jaw movement.
When you receive your first set of aligners, the dentist ensures they fit properly and explains how to wear and care for them. Progress is then monitored with regular checkups, and new aligners are provided until the bite is corrected.
3D printing is widely used in dentistry to increase precision, read more about it in our article on 3D printed implants in Turkey.
Success Rates & Clinical Evidence of Invisalign for Overbite


Clinical research supports a success rate of approximately 90% for Invisalign in overbite correction. It shows specific efficacy for anterior open bites, with studies recording a mean overbite improvement from -3.5 mm to +1.5 mm.
The American Association of Orthodontists (AAO) confirms that aligners are a scientifically valid treatment for overbites when managed by a specialist, with patient reviews and surveys showing a 94% satisfaction rate, largely attributed to the comfort and aesthetic "invisibility" of the trays compared to metal wires.
Further evidence suggests that Invisalign successfully addresses overbite concerns in 92% of cases, achieving an average reduction of 68%. These figures confirm that clear aligners are a scientifically viable alternative to traditional braces for managing deep overbites.
However, while the overall success rate is high, there is a "predictability gap" in the digital planning phase. Research indicates that Invisalign typically achieves only 33% to 39% of the vertical correction initially planned in the 3D software. Consequently, additional refinements and follow-up aligner sets are often necessary to reach the finalized, ideal clinical result. You may like: Invisalign Alternative: Affordable, Comfortable & Trusted Options
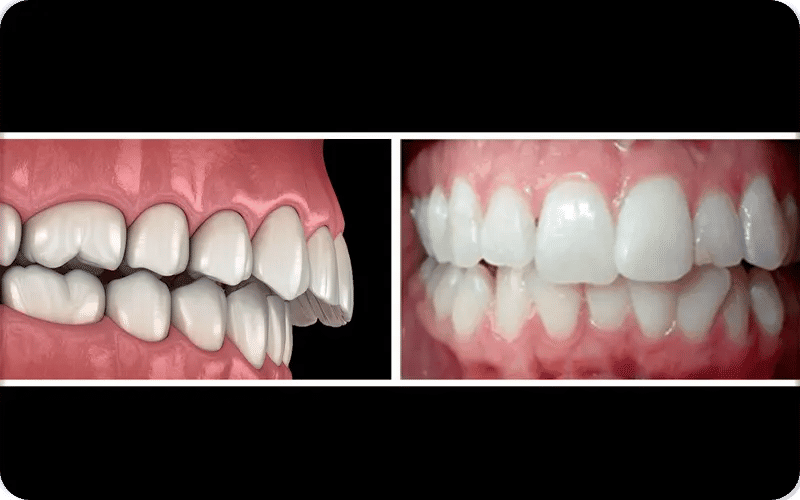
Invisalign for Overbite Before and After Cases (Realistic Expectation)

Does Invisalign Work for Severe Overbite?
Yes, Invisalign can fix severe overbites, but it typically requires specialized attachments and elastics (rubber bands) to achieve optimal results. While mild cases rely solely on aligner pressure, severe malocclusions need extra mechanical support to move both the teeth and the jaw into the correct position.
Alternatives to Rubber-Based Invisalign for Severe Cases
- Invisalign with Mandibular Advancement: Utilizing Precision Wings on the aligners to mechanically guide the lower jaw forward—a more comfortable and discreet alternative to elastics for growing patients.
- TADs (Temporary Anchorage Devices): Micro-screws that provide a stable "anchor" in the bone to move teeth more efficiently than plastic alone.
- Functional Appliances: Specialized tools like the Herbst Appliance, used in conjunction with aligners for major skeletal corrections.
Can Invisalign Fix an Overbite Without Rubber Bands?
Yes, Invisalign can correct mild to moderate overbites without the use of rubber bands (elastics). This is primarily possible when the overbite is "Dental" (related only to tooth positioning) rather than "Skeletal" (related to jaw bone structure).
In these cases, orthodontists utilize advanced aligner features to move the teeth without external force:
- SmartForce Attachments: Small, tooth-colored "handles" bonded to the teeth that allow the aligners to exert precise pressure and leverage.
- Precision Cuts & Bite Ramps: Built-in features that prevent the jaw from clenching too tightly, allowing the back teeth to erupt and the front teeth to level out.
Clear aligners alone apply pressure to the teeth, but they have limited "grip" on the jaw bone. When an overbite is moderate to severe, additional force is required to coordinate the upper and lower arches. Rubber bands provide this "inter-arch" tension, pulling the lower jaw forward and the upper teeth back to create a functional bite.
Invisalign With vs. Without Rubber Bands for Overbite
Invisalign treatment uses rubber bands when the overbite is moderate to severe, requiring additional force to align the jaw and bite, which the clear aligners alone cannot achieve. For mild overbites resulting solely from tooth positioning, Invisalign may correct the issue without rubber bands.
Invisalign with Rubber Bands | Invisalign without Rubber Bands | |
How It Works | Combines aligners with elastics hooked from attachments on upper to lower teeth, adding extra corrective force. | Aligners alone apply controlled pressure to gradually shift teeth. |
Benefits | Moves both teeth and jaw into proper alignment for a healthier, functional bite. | More discreet and simple, with fewer components to manage. |
When Used | For moderate to severe overbites involving jaw misalignment. | For mild overbites caused mainly by tooth positioning. |
Invisalign vs Braces for Overbite
Feature | Traditional Braces | Invisalign |
Best For | All cases (mild to severe, including skeletal cases) | Mild to moderate dental cases |
Effectiveness | Superior for complex jaw realignment | Highly effective for spacing and alignment issues |
Duration | 18–36 months (case dependent) | 12–18 months (on average) |
Aesthetics | Visible metal or ceramic brackets | Nearly invisible clear aligners |
Comfort | May cause initial irritation, mouth sores, or scratches | Smooth plastic; gentle on gums |
Compliance | Fixed system; works 24/7 without patient effort | Removable; requires 20–22 hours of daily wear |
Cost | Usually more budget-friendly | Generally higher due to advanced technology |

Traditional braces remain the gold standard for complex and severe overbites, particularly when skeletal discrepancies are the root cause. Because braces are fixed appliances, they allow the orthodontist to maintain absolute control over the three-dimensional movement of the teeth 24/7. This high-level, constant force is necessary for significant dental shifts and jaw realignment that plastic aligners may struggle to achieve.
A major medical advantage of braces is that they eliminate the "compliance variable." Since they are not removable, treatment progresses without interruption. In contrast, the success of Invisalign is entirely dependent on the patient’s commitment to wearing the trays for 22+ hours a day. While Invisalign is highly effective for mild to moderate cases, it is often reserved for patients who have the discipline to follow a strict wear-and-remove schedule.
While braces offer superior mechanical strength, they can be more irritating to the soft tissues. The metal brackets and wires are bulky and can cause minor lacerations or discomfort to the gums and inner cheeks. Invisalign offers a distinct advantage in terms of biocompatibility and patient comfort. The laser-trimmed, smooth plastic is significantly more "gum-friendly," leading to fewer emergency visits for broken wires or mouth sores.
So, which one is better for your overbite braces or Invisalign? by Expert Voice
While many patients choose Invisalign for its "invisible" look, the final decision should be based on clinical necessity.
According to Dr. Defne Çaldemir Yanık, a specialized Orthodontist at Turkey Luxury Clinics with over 10 years of experience in advanced aligner systems:
Invisalign is a professional and comfortable choice for many patients. However, if an overbite involves the skeletal jaw bone or requires significant vertical movement, she advises Traditional Braces to ensure the most stable, long-term functional result.
Ultimately, your orthodontist will evaluate the severity of your malocclusion, not just your aesthetic preference, to ensure a functional, healthy bite that lasts a lifetime.
You may like: Invisalign Alternative: Affordable, Comfortable & Trusted Options
Invisalign for Overbite in Children
In children, Invisalign can correct developing overbites starting from age 6 to 10, before permanent teeth fully emerge. Early treatment guides jaw growth, improves bite function, and reduces the risk of crowding or misalignment later. Invisalign aligners offer a comfortable, removable solution that supports proper oral hygiene and allows children to eat normally while wearing them.
Invisalign for Overbite in Adults
For adults, Invisalign offers a discreet way to correct overbites without traditional braces. The aligners gradually reposition teeth and, when needed, work in combination with attachments or elastics to adjust jaw alignment. Treatment can also improve speech, chewing efficiency, and overall dental health while remaining nearly invisible.
How Long Does Treating Overbite by Invisalign Take?
Treating an overbite with Invisalign usually takes 6 to 24 months, depending on factors such as the severity of the bite, the patient’s age, and how closely they follow the treatment plan. Mild overbites may be corrected in 6–12 months, moderate cases often take 12–18 months, while severe overbites may require 18–24 months or more for full correction.
What Factors Affect Overbite Treatment Time?
Several elements influence how long Invisalign takes to correct an overbite:
- Severity of the Overbite: Mild cases usually finish faster, while deep or severe overbites require more time.
- Personalized Plan: Your orthodontist’s 3D scan and treatment plan determine the number of aligners and duration.
- Age Factor: Younger patients often see quicker results because their teeth and jaws are still developing.
- Consistency: Wearing aligners 20–22 hours daily is crucial—skipping slows the process.
- Additional Tools: Elastics or bite ramps may be added for complex cases, which can extend treatment.
How to Speed Up Invisalign Overbite Treatment
To enhance results, follow your orthodontist’s plan closely, wear aligners as directed, and use any recommended elastics or bite ramps. Staying consistent and attending regular checkups helps ensure a smoother and faster treatment journey.
How Much Does Invisalign for Overbite Cost?

The cost of Invisalign treatment for an overbite generally ranges from $3,000 to over $8,000 in the US, UK, and Europe. Prices vary depending on the severity of the overbite, treatment length, and orthodontist fees.
In other countries, such as Turkey, Invisalign treatment is significantly more affordable, usually between $2,000 and $3,000.
Many clinics in Turkey offer comprehensive dental tourism packages, which often include 3D scans, treatment planning, various number of Invisaligners, follow-up visits, and sometimes even retainers or accommodation for international patients.
This makes Turkey a popular destination for medical tourism, as patients can receive high-quality orthodontic care at a fraction of the cost.
Related articles: All-Inclusive Dental Implant Packages, Turkey, Best packages, Deals, Prices, 2025
Get Trusted Overbite Treatment with Invisalign at Turkey Luxury Clinics
At Turkey Luxury Clinics, our experienced orthodontists specialize in correcting overbites with Invisalign treatment.
Whether your case is mild, moderate, or requires the use of attachments and elastics, we create a personalized plan to achieve lasting results, discreetly and comfortably.
With our advanced technology and patient-focused care, you can enjoy world-class dental treatment at an affordable cost.
Book your free consultation today and take the first step toward a healthier, more confident smile with clear Invisalign aligners.
Discover other treatments that enhance your smile in Turkey
Hollywood Smile in Turkey 2025: Full Mouth Cost & Packages















.webp)
.webp)
.webp)
.webp)

