إزالة جير الأسنان تجربتي كانت تجربة ناجحة وإيجابية جداً ضمن روتين العناية بصحّتي الفموية، إذ شعرتُ مباشرةً بعدها بنظافة لامعة وراحة منعشة لم أعهدها من قبل، كما لاحظتُ زوال الاصفرار وتحسّن رائحة النفس جيداً، إضافةً إلى توقّف نزيف اللثة الذي كان يُزعجني كثيرًا.
بالتأكيد شعرتُ ببعض الضغط المؤقّت أثناء جلسة إزالة جير الأسنان، إلا أنّ الفوائد المهمة مثل الوقاية من التسوّس وأمراض اللثة جعلتني أحرص على تكرارها كل ستة أشهر إلى جانب المتابعة المنزلية اليومية التي أوصاني بها الدكتور حيدر أوزيل ضمن رحلة علاجي في تركيا.
تجربتي مع تنظيف الأسنان من الجير كانت جيدة جداً في تركيا، والأسباب هي:
- تخلّصت من اصفرار الأسنان وجير الأسنان تماماً
- لم يعد هناك خوف من التهابات اللثة ونزيفها الذي عانيتُ منه
- كلّ زيارة لي في تركيا أحرصُ على تنظيف أسناني في تركيا لاكشري كلينك
- اهتمام ورعاية شخصية راقية صراحةً وأنا ممتنٌ جداً من الدكتور حيدر أوزيل
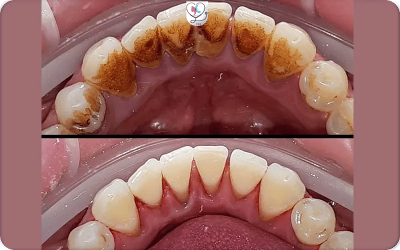
تجربتي مع ازالة جير الأسنان

أنا حمد من السعودية كنت أعاني من تراكم الجير على أسناني خصوصاً في المنطقة الخلفية من الفم، للأسف رائحة النفس دائماً كانت سيئة وأشعر بانزعاج مستمر عند الأكل أو التحدث، قررت التوجّه إلى عيادات تركيا لاكشري كلينك لتنظيف الأسنان وإزالة الجير، وهناك بدأت رحلتي مع جلسات التنظيف التي غيّرت نظرتي تماماً للعناية الفموية بالأسنان.
في الجلسة الأولى شرح لي الدكتور بالتفصيل كيفيّة تكوّن الجير وتأثيره على اللثة والأسنان، ثم بدأ باستخدام أدوات خاصة لإزالة الترسّبات الصلبة من بين الأسنان وفوق خطّ اللثة، وكنت أسمع صوت الجهاز وأشعر بضغط خفيف لكنه لم يكن مؤلمًا كما كنت أتصوّر.
بعد ذلك أجرى تلميعاً دقيقاً لأسطح الأسنان باستخدام معجون خاص، ثم أنهى الجلسة باستخدام خيط تنظيف عميق بين الفراغات، وبعد الجلسة مباشرة شعرتُ بانتعاش واضح وزوال كل آثار الإزعاج، وأصبحت أسناني أكثر نظافة وبياضاً مما توقّعت، لذلك أعدت التجربة بعد ستة أشهر وكانت النتائج كما أردتها تماماً وأكثر.
تجربتي مع تنظيف الأسنان في تركيا

أنا أمير من الجزائر قررتُ خوض تجربة تنظيف الأسنان في تركيا بعدما سمعت كثيراً عن جودة الخدمات الطبّية هناك، وفعلاً حجزت موعدًا في إحدى العيادات المعروفة في إسطنبول (تركيا لاكشري كلينك) وكان الاستقبال مريحًا والتنظيم دقيقًا منذ لحظة وصولي، حيث بدأتُ بجلسة تقييم شامل شملت تصوير الأسنان وتحديد أماكن تراكم الجير والبقع، ثم شرح لي الطبيب خطوات التنظيف بالتفصيل.
أثناء الجلسة استخدم الطبيب جهازاً متقدّماً لإزالة الجير، وكان الإجراء دقيقاً دون ألمٍ يُذكر، وشعرتُ فقط باهتزازات خفيفة على اللثة مع إحساس ببرودة الماء، وبعد الانتهاء قام بتلميع الأسنان وتطبيق مادة وقائية لحماية مينا الأسنان، ولاحظتُ بعدها فرقًا واضحًا في بياض الأسنان وانتعاش النفس حتّى، كما زال نزيف اللثة تماماً، بصراحة كانت تجربة متكاملة ومُرضية بكل المقاييس.
تابع مقال تجربتي مع تبييض الأسنان بالليزر في تركيا
تجربتي مع فوائد تنظيف الأسنان
صراحةً كنتُ أظنّ أنّ تنظيف الأسنان إجراء روتيني لا يقدّم فارقاً كبيراً في شكل الأسنان أو استدامتها، لكن بعد خوض التجربة بنفسي أدركت كم يُمكن لهذا الإجراء البسيط أن يُحدث تحوّلًا حقيقيًا في صحّة الفم والمظهر والثقة بالنفس، وهذه أبرز الفوائد التي شعرتُ بها مباشرةً:
- فم نظيف بإحساس رائع وأسنان لامعة تظهر بوضوح عند الابتسامة
- تحسّن ملحوظ في رائحة الفم وزوال أي رائحة غير مستحبّة
- توقّف النزيف تمامًا وشعور بارتياح في اللثة دون التهابات
- سهولة كبيرة في تنظيف الأسنان اليومي وفعالية أوضح للفرشاة والخيط
- شعور بالوقاية لأنّ أسناني أصبحت محمية من التسوّس ومشكلات اللثة
ماذا تشعر خلال إجراء جلسات إزالة جير الأسنان؟

أثناء تجربتي مع إزالة الجير أدركت أنّ الجلسة ليست كما يقولون عنها من آلامٍ وأوجاع وغيرها، الموضوع لم يكن مؤلماً كما كنتُ أتخيّل، بل كان يمكن تحمّله بسهولة خاصة عندما يكون الطبيب محترفًا ويتعامل بلطف وحرص، وقد ترافق الإجراء مع بعض الأحاسيس الطبيعية التي يُمكن أن يشعر بها أي شخص خلال الجلسة أو بعدها بفترة قصيرة، وهذه أبرزها:
- شعور بضغط خفيف أثناء استخدام الأدوات لإزالة الجير، خصوصًا حول اللثة
- حساسية مؤقتة للأسنان تجاه المشروبات الباردة أو الساخنة تستمر لبضعة أيام أو أسابيع
- تورّم بسيط في اللثة خصوصاً إذا تم تنظيف الجير من تحت خط اللثة، لكنه يزول بسرعة
- ملاحظة نكهة غريبة في الفم ناتجة عن تطهير المناطق التي كانت مليئة بالبكتيريا والتراكمات
نصائح إزالة جير الأسنان تجربتي الناجحة

يقول حمد: بعد خوضي لتجربة تنظيف الأسنان وإزالة الجير تأكّدتُ أن النتيجة ليست مرتبطة بالجلسة نفسها! إنّما بعدّة عوامل أهمّها التحضيرات التي تسبقها والعناية التي تليها، ولهذا أشارككَ هنا أهمّ النصائح التي تعلّمتُها من تجربتي في تنظيف الأسنان:
- لا تأكل قبل الجلسة مباشرة لتجنب الانزعاج أثناء التنظيف
- لا تتردّد في إخبار الدكتور إذا شعرت بأي انزعاج أو حساسية
- تجنّب المشروبات الباردة أو الساخنة خلال اليومين التاليين للجلسة
- استخدم فرشاة ناعمة ومعجونًا مخصصًا للأسنان الحسّاسة
- حافظ على روتين التنظيف بالخيط والفرشاة مرتين يوميًا
- كرّر جلسة التنظيف كل 6 أشهر على الأقل دون تأخير
- اختر عيادة موثوقة وطبيبًا لديه خبرة (أوصيك بتركيا لاكشري كلينك)
إزالة جير الأسنان تجربتي في تركيا لاكشري كلينك

حين وصلتُ إلى تركيا كنت أبحث عن تجربة علاجية مختلفة فعلاً، وقرّرتُ أن أبدأ بخطوة بسيطة ولكنها مهمّة وهي إزالة جير الأسنان، واخترتُ "تركيا لاكشري كلينك" بناءً على توصية صديق جرّب العيادة من قبل، ومنذ لحظة دخولي شعرتُ بالفرق، الفريق كان في استقبالي بابتسامة ترحيبية، وبعد استشارة قصيرة بدأت الجلسة التي غيّرت مفهومي تمامًا عن نظافة الفم والأسنان.
ما شدّ انتباهي هو الاهتمام بأدق التفاصيل، بدءًا من التعقيم العالي وانتهاءً بالنصائح المخصّصة لي بعد الجلسة، كانت النتيجة مبهرة والأسنان أصبحت أنظف وألمع مما توقعت، وقد زالت كل أعراض الانزعاج التي كنت أشعر بها قبل الإجراء، ولهذا أشارككَ أبرز المميّزات التي عشتها:
- أجهزة حديثة وتقنيات متطورة في إزالة الجير دون ألم
- أطباء الأسنان خبراء يتعاملون برفق ودقّة
- بيئة نظيفة ومريحة تشعرك بالثقة والاطمئنان
- متابعة شخصية من قبل الطاقم حتى بعد انتهاء الجلسة
- أسعار تنظيف الأسنان من الجير معقولة مقارنة بالدول الأخرى
- نتائج واضحة من الجلسة الأولى من حيث النظافة والراحة
- تعليمات واضحة وسهلة للحفاظ على نظافة الفم بعد التنظيف
















.webp)
.webp)
.webp)
.webp)

